Astrocitomas I
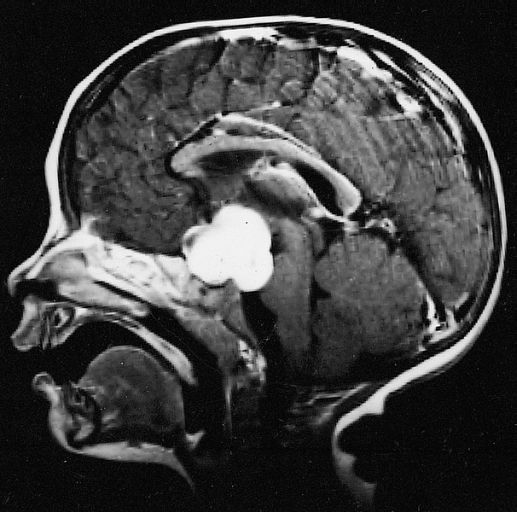
Son gliomas benignos que pueden ser sólidos o sólidos con quistes. Se localizan en el cerebro y en el cerebelo. En el cerebro pueden estar en el hipotálamo y son los más difíciles de extirpar, igual que los localizados en el tronco cerebral, pero en muchos casos se puede realizar extirpaciones completas, también se localizan en los hemisferios cerebrales o cerebelosos siendo la extirpación más sencilla con la ayuda de las modernas técnicas quirúrgicas como son navegadores, microscopio, coagulación bipolar, aspirador ultrasónico, etc.

